Кетогенная диета, основанная на радикальном снижении углеводов и увеличении потребления жиров, стала невероятно популярной, обещая стремительное избавление от лишних килограммов. Ее сторонники утверждают, что такое питание переключает организм в режим “сжигания жира”, где основным источником энергии становится не глюкоза, а жиры. Этот метаболический сдвиг, известный как кетоз, действительно может привести к потере веса, но недавние исследования на мышах проливают свет на потенциальные “темные пятна” этого подхода, вызывая вопросы о его безопасности в долгосрочной перспективе.
Исследования, проведенные командой ученых из Университета Юты, обнаружили, что мыши, переведенные на кето-подобную диету, не только теряли вес, но и демонстрировали тревожные признаки. У них развилась жировая дистрофия печени, состояние, при котором жир накапливается в клетках печени, нарушая ее функцию. Кроме того, были замечены нарушения в регуляции уровня сахара в крови, что может указывать на предрасположенность к диабету или другим метаболическим расстройствам. Эти результаты, хотя и получены на животных, заставляют задуматься о том, насколько сбалансированным является метаболический эффект кето-диеты.
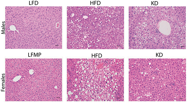
"В новом исследовании ученые проанализировали мышей, получавших четыре разные диеты в течение как минимум девяти месяцев: диету с высоким содержанием жиров (западный стиль); диету с очень высоким содержанием жиров и низким содержанием углеводов (кето-диета); диету с низким содержанием жиров и высоким содержанием углеводов; и диету с низким содержанием жиров и уровнем белка, соответствующим кето-диете", — говорится в публикации Science Alert.
Физиологи, ведущие исследование, подчеркивают, что большая часть информации о кето-диете основана на краткосрочных наблюдениях, сфокусированных исключительно на снижении веса. Однако, как показал эксперимент на мышах, длящийся до девяти месяцев, организм может реагировать на такой тип питания иначе, чем предполагалось. Накопление избыточного количества жиров в рационе неизбежно приводит к их отложению в организме, в первую очередь в печени, что создает дополнительную нагрузку на этот жизненно важный орган.

У самцов мышей, получавших кето-диету (крайний справа), были обнаружены признаки жировой дистрофии печени. (Gallop et al., Sci. Adv. , 2025)
Дальнейший анализ поведения мышей выявил еще один серьезный аспект. В течение нескольких месяцев на кето-диете у грызунов наблюдался аномально низкий уровень глюкозы и инсулина в крови. Это связано с тем, что клетки поджелудочной железы, ответственные за выработку инсулина, начинали работать некорректно. Ученые предполагают, что избыток липидов в крови оказывает стрессовое воздействие на эти клетки, нарушая нормальный процесс производства инсулина. И хотя полное понимание механизмов требует дальнейших исследований, особенно в части гендерных различий в развитии проблем с печенью, уже сейчас очевидно, что кето-диета несет в себе потенциальные риски.
К счастью, исследование обнаружило и проблески надежды. У мышей, которые были выведены из кето-диеты, регуляция уровня сахара в крови постепенно нормализовалась, что свидетельствует о возможности обратимости некоторых негативных последствий. Стоит отметить, что кетогенная диета изначально разрабатывалась для лечения эпилепсии, и в этом контексте ее способность имитировать метаболические эффекты голодания для снижения частоты приступов остается актуальной. Однако, как показывает данное исследование, для широкой публики, стремящейся к потере веса, потенциальные риски для метаболического здоровья могут перевешивать видимые преимущества. Перед тем как кардинально менять свой рацион, важно проконсультироваться с врачом, чтобы оценить все возможные последствия для вашего организма.
Результаты работы опубликованы в журнале Science Advances.
Изображение: фрипик


