Подобно тому, как пчелы обеспечивают жизнь садам, опыляя цветы и способствуя их цветению, мельчайшие клеточные механизмы, известные как митохондрии, поддерживают жизнь в наших организмах, снабжая энергией каждую клетку. Поддержание митохондриального метаболизма – сложный процесс, требующий участия множества молекул и белков, некоторые из которых еще не идентифицированы.
Ученые из Института Солка исследуют зависимость митохондрий от микропротеинов – небольших белков, которые ранее было сложно обнаружить, что привело к недооценке их роли в здоровье и развитии заболеваний.
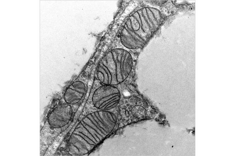
В новом исследовании был обнаружен микропротеин под названием SLC35A4-MP, который играет ключевую роль в поддержании структуры митохондрий и регулировании метаболического стресса в жировых клетках мышей. Полученные данные открывают путь для разработки новых методов лечения на основе микропротеинов для борьбы с ожирением, старением и другими митохондриальными нарушениями.
Результаты исследования являются частью серии недавних открытий Института Солка, подчеркивающих важность микропротеинов в клеточной биологии, метаболизме и стрессовых реакциях.
«Микропротеины долгое время считались случайным генетическим мусором, но наша работа подтверждает растущее количество исследований, показывающих, что многие из них являются важными регуляторами клеточной физиологии, – отмечает Алан Сагателян, профессор Института Солка. – В данном исследовании мы показываем, что микропротеин отвечает за поддержание структуры и функции митохондрий в бурой жировой ткани, которая регулирует температуру тела и энергетический баланс».
Результаты работы опубликованы в журнале Science Advances.
Изображение: phys.org


